虫歯の治療(一般歯科)
出来たばかりの虫歯(初期虫歯、CO)は削らなくても治すことができます。 最近では歯科技術の進歩により、大きく穴のあいた虫歯でも、痛いだけの治療 はなくなってきています。 " 歯の治療は痛いから嫌だ"と歯医者を敬遠していらっしゃる方も多いでしょう。当院では、治療後"楽だった、来てよかった"と思って頂けるよう、負担の軽い 治療を目指しています。つめたり、かぶせたりする材料もご希望により選択可能ですので、お気軽にご相談ください。
診療科目のご案内
歯の治療でもっとも最善のことは、定期管理と虫歯にかかる前の予防です。 ゆう歯科では、ブラッシング指導やフッ素による虫歯予防と、定期的な検診による歯の管理を重要視しています。
虫歯の状態によってつめる治療とかぶせる治療があります。インレー・クラウンなどのほかに、治療後の歯が目立たないエステニア治療も行っておりますので、ご相談ください。
歯周病の最も多い原因は、歯に付いた歯石や歯垢です。プラークコントロールと、綺麗な歯並びを維持することで、歯周病にかかりにくい口腔をつくります。
歯石の除去などの歯周病予防では改善できない場合、外科手術を行います。悪くなった歯肉を取り除き、改善を図ります。歯周病改善後も、再発防止のための定期管理・歯周病予防の治療をお勧めします。
顎関節症の予防としては、歯並びを整える・咬み合せを整えるなどの処置をし、関節の位置を正しく保つ方法があります。
マウスピースを装着し、関節を正しい位置に矯正する治療法や、中途半端に生えて、他の歯や骨の負担になっている親知らずを抜く治療法(口腔外科)があります。
乳歯は永久歯よりデリケートで虫歯にかかりやすいのです。毎日の歯磨きでは見逃してしまう歯垢や歯石の除去・ブラッシング指導で虫歯にかかりにくい歯をつくります。
虫歯・歯肉炎の治療をします。乳歯の虫歯は抜いてしまってもかまわないのですが、虫歯の進行状況によっては乳歯の下の永久歯に影響を与える場合もあります。
正しい位置で咬み合い、顎にしっかり合う入れ歯作成のために、調整は時間をかけて行います。
入れ歯(義歯)を作成する上で最も重要なことは、自分にぴったりと合い、よく噛め、しっかり話せるということです。その為には、顎や歯の形を正確に把握し、調整していく必要があります。軽い、金属プレートの入れ歯や、表からばねが見えない審美的な入れ歯など、ご相談に応じます。
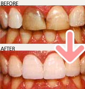
歯は、毎日ていねいに磨いていても、少しずつ色や歯石が付いてくることがあります。いったん歯に付着してしまった色素(コーヒーステイン、茶しぶ、たばこのヤニなど)や歯石は、毎日のブラッシングだけでは、なかなか取ることができません。これらは、歯の美しさをそこねることになりますし、歯槽膿漏などの原因となることもあります。そこで、〈クリーニング〉により色素、歯石を取り除きます。この〈クリーニング〉によって、歯本来の自然な色と美しさを取り戻すことができます。また、口の中がすっきりとして気分もリフレッシュします。さらに、定期的に〈クリーニング〉をすることで口の中を健康な状態に保ちます。
さらに積極的に歯の色を白くしたい場合には「ホワイトニング」という方法があります。歯専用に開発された漂白薬剤を、歯に作用させ、歯の色合いをより白くする方法です。多くの日本人の歯はやや黄色がかった色をしています。それはそれで肌の色などと調和がとれていることが多いのですが、より色合いを白くすることで口もとの印象をよくすることができます。当院ではホワイトニングの先進国アメリカにて高い評価を得ている「ホームホワイトニング」法を行っております。

歯の色が元々黒ずんでいたり、歯のかたちが揃っていないような場合など、「クリーニング」「ホワイトニング」では十分な効果が得られないようなこともあります。このような場合、セラミックでできた薄い板状のシェルというものを歯の表面に張り付け色合いや形態を整える「ラミネートベニア」という方法があります。現在ではセラミックの技術も進歩しており、非常に自然できれいな色合いが再現できます。
